Hinweis: Werbeanzeige


Kölner Zoll stellt Niederländer mit Kokain im Körper

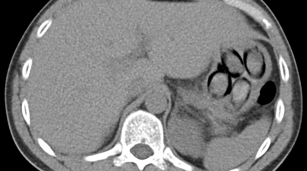
Kölner Zoll stellt Niederländer mit Kokain im Körper - (Foto: Röntgenbild zeigt mehrere Kokainpäckchen im Magen des Niederländers (Archiv))
Der Kölner Zoll hat am Flughafen Köln/Bonn einen niederländischen Reisenden mit Kokain im Magen festgenommen. Bei einer Kontrolle am 4. November am Fernbusbahnhof war ein 38-Jähriger aus Den Haag durch widersprüchliche Angaben, nervöses Verhalten und minimales Gepäck aufgefallen, wie das Hauptzollamt Köln mitteilte. Ein Drogenwischtest an den Händen des Mannes schlug positiv auf Kokain an. Eine Röntgenuntersuchung in einem Kölner Krankenhaus bestätigte den Verdacht: Im Magen des Niederländers waren mehrere Drogenpäckchen zu erkennen.
Unter Überwachung schied der Mann anschließend sieben sogenannte Bodypacks mit insgesamt mehr als 100 Gramm Kokain aus. Bereits in diesem Jahr hatte der Kölner Zoll mehrere Fälle von Körperschmuggel aufgeklärt. Ein 50-jähriger Italiener stellte zu Jahresbeginn mit 1,3 Kilogramm Kokain im Körper einen traurigen Rekord auf. Vor wenigen Monaten schmuggelte zudem ein Mutter-Tochter-Gespann fast 140 Gramm Heroin in Kondomen verpackt im Zug. Die weiteren Ermittlungen führt nun das Zollfahndungsamt Essen.

Anzeigen